Удаление катаракты
      Катаракта — это уменьшение прозрачности хрусталика вследствие дегенеративных изменений. Чаще всего заболевание начинает развиваться у людей после 50 лет, но иногда обнаруживается даже у детей (врождённая катаракта). Как правило, заболевание прогрессирует достаточно медленно. Многие считают катаракту возрастным ухудшением зрения. Сейчас не разработано способа консервативного лечения, единственным методом терапии является хирургическая замена хрусталика на искусственный. Операция пугает многих пациентов, но на самом деле она занимает не более получаса, проводится без наркоза, а после неё часто восстанавливается до 100% зрительной функции.

Факторы, приводящие к развитию катаракты

  • возрастные дегенеративные изменения;
  • наследственная предрасположенность;
  • глаукома;
  • воспалительные процессы в глазу;
  • сахарный диабет;
  • другие патологии обмена веществ;
  • ультрафиолетовое или ионизирующее облучение;
  • травмы глаз или неудачные операции;
  • побочные эффекты некоторых медикаментов.
Катаракта лечение в России

Симптомы

      Пациент отмечает постепенное (часто очень медленное) сгущение тумана перед глазами. Окружающие предметы приобретают слегка желтоватый оттенок. Особенно заметно ухудшается зрение в условиях плохой освещённости. Также прогрессирует близорукость. У пожилых пациентов все эти симптомы развиваются медленно, поэтому долгое время можно в удовлетворительной степени корректировать зрение с помощью очков и линз. Если же катаракта выявлена у ребёнка, необходима срочная операция, чтобы в дальнейшем не возникли нарушения развития зрительного аппарата.

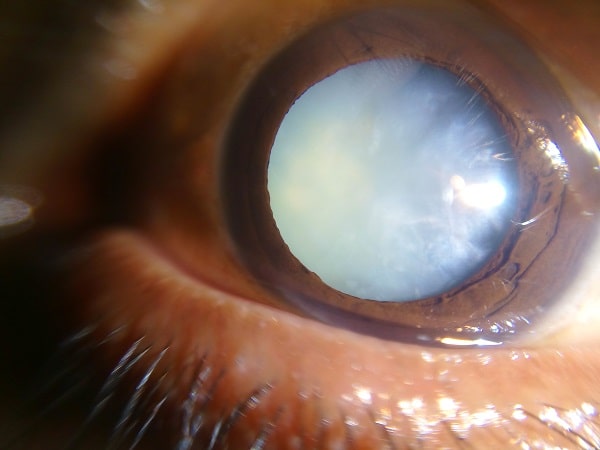
Виды катаракты и стадии развития

      Катаракту принято классифицировать по степени зрелости и времени возникновения. По степени зрелости принято выделять следующие формы:

  • Начальная — появляются едва заметные помутнения, а хрусталик увеличивается в размере. При осмотре глаза заметна его изменённая структура. Пациент пока не отмечает явной симптоматики.
  • Незрелая — по мере увеличения площади и интенсивности помутнения хрусталика пациент начинает замечать признаки ухудшения зрения. Среди них — пелена или мутные пятна перед глазами, двоение, расплывчатость картинки. При осмотре заметна уменьшенная передняя камера глаза.
  • Зрелая — становится заметна даже снаружи, так как зрачок изменяет цвет на белесый. До такой стадии болезнь обычно развивается несколько лет, но может и гораздо быстрее. Хрусталик становится плотным по структуре и мутным на вид. Пациент полностью теряет предметное зрение, реагируя только на свет.
  • Перезрелая — происходит полная дегенерация волокон хрусталика, также характеризуется значительным увеличением зрачка по размеру. Со стороны выглядит так, как будто у пациента отсутствует зрачок, так как его контуры размываются.

      Чем больше запущена катаракта, тем сложнее проводить хирургическое лечение.

      По времени возникновения катаракту различают на врождённую и приобретённую. Врождённая может быть наследственной или развиваться вследствие каких-то других тяжёлых нарушения здоровья. Более 90% случаев приобретённой катаракты развивается по причине возрастных изменений зрительного аппарата, но причиной также может стать травма, облучение, отравление и некоторые заболевания глаз (глаукома, увеит и т. д.).

Методы диагностики

  • Визометрия (определение остроты зрения). Врач показывает пациенту таблицу с буквами разного размера и определяет порог видимости отдельно для каждого глаза.
  • Офтальмоскопия (осмотр глазного яблока изнутри). Врач может увидеть степень прозрачности жидкостей, оценить состояние глазного дна, зрительного нерва, сетчатки и сосудистой оболочки.
  • Биомикроскопия (осмотр с щелевой лампой). Специальный узкий световой луч фокусируется на хрусталике, что даёт возможность сделать его оптический срез, где будут видны даже мелкие отклонения.
  • Периметрия (определение полей зрения). Исследование проводится с помощью специального прибора в форме полусферы или дуги, а полученные значения обрабатываются в компьютерной расчётной программе.
  • Тонометрия (измерение внутриглазного давления). Проводится для исключения глаукомы. Если она присутствует, то течение катаракты считается осложнённым.

Катаракта лечение в России

Показания для операции

      Сейчас операцию по удалению катаракты делают как по медицинским показаниям, так и по желанию пациента. К медицинским показаниям относятся явно видимые симптомы зрелой катаракты, а также такие дополнительные обстоятельства, как:

  • невозможность корректировать зрение очками;
  • потеря трудоспособности из-за плохого зрения;
  • большая разница в необходимой коррекции между двумя глазами;
  • глаукома;
  • набухание катаракты или перезрелая форма.

      Если врач считает, что можно ещё подождать, а пациент уже хочет делать операцию, то такой случай называется операцией по потребностям пациента.

Противопоказания к операции

      Операцию по удалению катаракты нельзя делать при инфекционных заболеваниях глаз, необходимо сначала полностью вылечить их. Также противопоказано хирургическое вмешательство при наличии злокачественных опухолей на веках. Если у пациента есть тяжёлое системное заболевание, влияющее на заживление, удаление катаракты тоже противопоказано.

Подготовка к операции

      Сначала нужно посетить врача, пройти осмотр и сдать все анализы, какие он назначит. Если противопоказаний не будет обнаружено, пациенту назначат операцию. Перед ней нельзя принимать пищу и воду в течение 8-10 часов и наносить декоративную косметику на глаза. Кроме того, придётся за сутки прекратить приём некоторых медикаментов (каких именно — укажет врач).

Как проходит операция

      На сегодня самый распространённый тип операции — факоэмульсификация катаракты с имплантацией интраокулярной линзы. Сначала хрусталик дробится на мелкие фрагменты посредством лазера или ультразвука, затем врач вводит в переднюю камеру глаза вещество, размягчающее хрусталик и превращающее его в жидкость. Эта жидкость выводится из глаза через зонд. Капсула хрусталика тщательно очищается и полируется, затем в неё вводят интраокулярную линзу. Материал линзы бывает разным по характеристикам, что напрямую влияет на результат восстановления зрения после операции и скорость реабилитации. Все манипуляции проводятся через минимальные разрезы и проколы, что даёт возможность проводить факоэмульсификацию даже амбулаторно.

Катаракта лечение в России

Реабилитация после удаления катаракты

      Продолжительность реабилитационного периода зависит от того, какого размера пришлось делать разрезы, и нужно ли было накладывать швы. В самом лёгком случае срок реабилитации — 30 дней, а с наложением швов — около 3-4 месяцев. В это время требуется максимально возможно исключить нагрузки и повреждающие действия на глаза: перенапряжение зрения за компьютером или при чтении, растирание руками, сон на стороне оперированного глаза, попадание воды, резкие температурные перепады, подъём тяжестей, наклоны, декоративная косметика. Соблюдение щадящего режима напрямую сказывается на скорости заживления и предотвращает осложнения.

Возможные осложнения

      Примерно в 2% операций по удалению катаракты возникают те или иные осложнения. Помимо грубых ошибок хирургов, которые очень редки, могут возникнуть:
  • глаукома;
  • астигматизм;
  • кистозный макулярный отек;
  • буллёзная кератопатия;
  • отек роговицы;
  • смещение интраокулярной линзы;
  • эндофтальмит;
  • отслойка сетчатки.

      Однако в 98% случаев хирургическое вмешательство проходит без осложнений и даёт отличные результаты.

На какой стадии легче излечить катаракту?

      В медицине сложилось мнение, что легче всего удалять катаракту в зрелой стадии, но современные технологии позволяют с отличным результатом удалять её и на ранних стадиях. С другой стороны, многие пациенты не хотят идти на операцию, пока зрение можно скорректировать очками до приемлемого уровня. Поэтому чаще всего врачам приходится иметь дело со зрелой формой. А вот удалять перезрелую катаракту гораздо сложнее, и результат лечения заметно ниже по результативности.

      Если Вас интересуют другие виды лечения в России, то Вы можете изучить полный каталог медицинских учреждений в России, оказывающие услуги медицинского туризма.
Читайте также в статьях

Записаться

Федеральное государственное бюджетное учреждение «Национальный медицинский исследовательский центр реабилитации и курортологии» Минздрава России

Выберите услугу

Стоматология

Оставьте заявку и мы с вами свяжемся!

Катаракта лечение в России

Удаление катаракты

cataract treatment in russia

Катаракта лечение в РоссииУдаление катарактыcataract treatment in russia